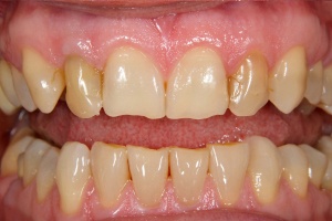
Are you curious about the dental care we provide at Shaia Dental Care? We welcome you to browse our Gallery to view examples of the high-quality care provided by our experienced dentist in Middleburg Heights, Ohio. To learn more and to schedule your visit with Dr. Anthony Shaia, we invite you to call or visit us today. We look forward to speaking with you!

Before

After

Before

After

Before

After

Before

After

Before

After

Before

After

Before

After